“就像有东西堵住了水管,浑身又黄又疼还发烧。”回想起发病时的情形,62岁的患者胡大爷(化名)仍心有余悸。因一颗直径约5mm的胆总管结石,他并发了急性胆管炎,肝功能急剧恶化,情况危急。
更棘手的是,胡大爷有脑出血后遗症,长期服用抗血小板药物,无论是接受传统开腹手术还是常规的内镜取石,都面临着极高的麻醉风险和出血风险。一道治疗难题,横在了患者与家属面前。
面对挑战,西安市红会医院介入诊疗中心团队在详细评估病情后,团队决定放弃传统的内镜(ERCP)和外科手术路径,另辟一条更为安全、微创的蹊径——创新性应用“球囊推移技术”经PTCD通路处理结石。
“这就好比一条路因为山体滑坡(结石)堵死了,大型机械(传统手术)进不去。我们就在山体侧面开一条小小的隧道(PTCD穿刺),然后用一个巧劲,把滑坡的石头推下悬崖(十二指肠),路就通了。”介入诊疗中心主任吴智群称。
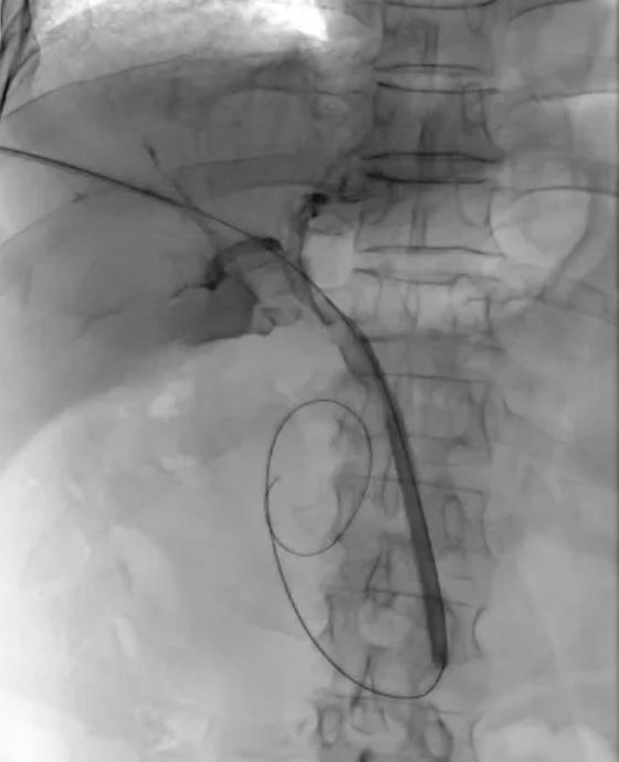
手术在局部麻醉下进行。在超声和X线透视的精准引导下,任虎虎副主任医师团队通过一个仅几毫米的穿刺点,成功建立了经皮经肝至胆总管的微细通道。
核心步骤随之展开:一根在介入手术中极为常见的6F普通血管成形球囊,沿着通道被送至结石下方。连接压力泵,球囊缓缓张开,形成一个柔和的“推力面”。在透视屏幕的监视下,医生如同一位沉稳的“推手”,运用巧劲,稳健地将这颗困扰多日的结石,轻轻地“推”过了Oddi括约肌,进入了宽阔的十二指肠。
整个过程仅耗时十余分钟,患者术中无任何不适。与传统方法相比,这项技术的精妙之处在于:极致微创,体表仅留一个穿刺针眼,避免了开腹大创伤。保留功能,完整保留了Oddi括约肌的“阀门”功能,从根源上降低了术后反流性胆管炎和结石复发的长期风险。安全高效,避免了全身麻醉和高风险的内镜下乳头切开,尤其适合高龄、高危、有复杂基础病的患者。化繁为简,使用常规介入器械替代专用昂贵设备,降低了技术门槛和医疗成本,更易于推广。
术后,胡大爷恢复的速度令人欣喜。术后第3天,他的肝功能指标便大幅改善,顺利出院。出院时,胡大爷感慨道:“没想到就这么个小眼儿,用个‘小球’一推,折磨我这么多天的病就好了,真是太神奇了。”
本例手术的成功,是红会医院介入诊疗中心在微创创新领域的一个缩影。它展示了介入医学“以人为本、化繁为简、攻坚克难”的核心理念。
“我们追求的,是用最小的创伤、最安全的方式,为患者解决最痛苦的问题。”吴智群表示,“这项技术的成功应用,为我们处理特殊类型胆总管结石积累了宝贵经验,也为那些无法耐受传统手术的患者提供了一个全新的、优质的治疗选择。未来,我们将继续探索更多这样的‘巧办法’,让精准介入微创技术惠及更多患者。”(西安市红会医院)
责任编辑:王丽莎


京公网安备 11010202009201号